Sarah tipped me to this. It's funny, but I swear it's not about me. True, there's a resemblance, but I haven't been to a developer's conference in a long time.
Well, not directly, though one was in the same Austin convention center where I was.
And, I did get Mexican food one night.
Maybe it is me after all.
By the way, if you're not reading Sarah's study-abroad blog, you should be. It's awesome--of course, because she is--and now she's reporting from Paris, one of my favorite places in the world.
Saturday, October 22, 2011
Friday, October 21, 2011
How are you feeling?
As soon as they hear about the tumor, almost everyone asks this question. It's always with a good intent, but the answer is sufficiently complex that I decided I would use this blog, as I have with the news, as the mechanism for explaining it.
Most of the time, I feel no more about it than I do about the sun. It's there, I'm busy, and I'm focused on what's in front of me.
When I do think of it, which admittedly is a hell of a lot more often than I think about the sun, my overwhelming reaction is anger. I didn't ask for this thing. As best I can tell, I did nothing to cause it. It just arrived. It will cost me at least a major surgery, possibly surgery plus radiation therapy or worse if it's malignant, and in the worst case, my life. That pisses me off.
I'm also scared, of course. I very much do not want to die. I do not want major surgery, though next to death, it's a price I'll happily pay.
I'm sad at times, because if this thing does kill me, I will miss so very much. I have books to write, decades of life I should get to live, people I want to grow old with, and most of all, two amazing kids I want to watch grow up.
Sometimes, I feel disbelief, as if surely this could not be happening to me. Then, of course, I touch my face, and there is the tumor, under and just in front of my right ear.
Annoyance is also there. I have to wait from Thursday when the doctor called to Monday for the biopsy. Then I have to wait days for the verdict: benign or malignant. Then more time to schedule a surgery. And so on.
Every one of those feelings, though, takes me back to my old friend, the one ally who's never let me down: anger. That anger will make me fight, and with luck it will make me win.
The Young Marines tried to break me, and they couldn't. I owned the place before I left. Fuck those jerks who abused me.
The woman who beat me for four years tried to break me, and she couldn't. I had her life literally in my hands, and I let her live and walked away. Fuck her.
All through my life, people and events have tried to stop me, tried to beat me, and they have failed. I fought, and I won. Fuck them.
Now, this tumor sits on the side of my face, barely noticeable, and it is doing its inanimate best to mess with my head, force surgery, and maybe even try to take my life. Well, fuck this tumor.
If it's benign, I'll have the surgery, deal with the pain, and move on with my life.
If it's malignant, I'll fight it with every asset I can bring to bear and every bit of will I can summon. No way in hell am I going gently into any night.
No matter what, I'll get mad, and I'll fight this clump of unwanted cells.
Fuck this tumor.
Most of the time, I feel no more about it than I do about the sun. It's there, I'm busy, and I'm focused on what's in front of me.
When I do think of it, which admittedly is a hell of a lot more often than I think about the sun, my overwhelming reaction is anger. I didn't ask for this thing. As best I can tell, I did nothing to cause it. It just arrived. It will cost me at least a major surgery, possibly surgery plus radiation therapy or worse if it's malignant, and in the worst case, my life. That pisses me off.
I'm also scared, of course. I very much do not want to die. I do not want major surgery, though next to death, it's a price I'll happily pay.
I'm sad at times, because if this thing does kill me, I will miss so very much. I have books to write, decades of life I should get to live, people I want to grow old with, and most of all, two amazing kids I want to watch grow up.
Sometimes, I feel disbelief, as if surely this could not be happening to me. Then, of course, I touch my face, and there is the tumor, under and just in front of my right ear.
Annoyance is also there. I have to wait from Thursday when the doctor called to Monday for the biopsy. Then I have to wait days for the verdict: benign or malignant. Then more time to schedule a surgery. And so on.
Every one of those feelings, though, takes me back to my old friend, the one ally who's never let me down: anger. That anger will make me fight, and with luck it will make me win.
The Young Marines tried to break me, and they couldn't. I owned the place before I left. Fuck those jerks who abused me.
The woman who beat me for four years tried to break me, and she couldn't. I had her life literally in my hands, and I let her live and walked away. Fuck her.
All through my life, people and events have tried to stop me, tried to beat me, and they have failed. I fought, and I won. Fuck them.
Now, this tumor sits on the side of my face, barely noticeable, and it is doing its inanimate best to mess with my head, force surgery, and maybe even try to take my life. Well, fuck this tumor.
If it's benign, I'll have the surgery, deal with the pain, and move on with my life.
If it's malignant, I'll fight it with every asset I can bring to bear and every bit of will I can summon. No way in hell am I going gently into any night.
No matter what, I'll get mad, and I'll fight this clump of unwanted cells.
Fuck this tumor.
Thursday, October 20, 2011
The State Fair and a shout out to Sarah
This post is long and full of pictures. Click on any image to see a much larger, higher-resolution version of it.
Monday night, a group of us made our traditional annual trip to the North Carolina State Fair.
I'm in it for the food and the weirdness, and mostly the food. The goal is to try as many odd Fair dishes as you can handle. This year, I decided on a new algorithm: I'd buy anything that looked interesting, take a bite, and then share it with the rest of the group. One dish, one bite, move on.
Others in our group, which to my great pleasure included Scott taking a few hours off from studying chemistry, had their own approaches, but I mostly stuck to mine. (Okay, I ate a couple of bites of a few things, but until the ice cream, I was doing well. More on that later.)
First up was Scott's pretzel dog on a stick, which he nicely let me try.

Wow, was it tasty, the perfect blend of pretzel and dog.
Gina needed me to hold her salty pretzel, so Scott and I exacted holding fees of a bite each. It was warm and chewy and salty, exactly as it should be.

We ate things as we passed them, which meant that this red velvet funnel cake with cream cheese icing hit our stomachs next. It was amazingly sweet, the sort of sweet that would make your teeth hurt, so it was fun only for a bite or two. (Kyle, you would loved it and eaten it all.)

I know what you're thinking: is that all the fried food you've got?
Why, no, it's not.

Yeah, fried macaroni and cheese bites. These little rascals are cheesy hot goodness personified. I restricted myself to a third of one; much food was still to come.
Next up was meat: a half-pound pure beef hot dog from a local guy who makes it himself. Five of us shared it, so we each got only a bite or two, but man, was it satisfying.

That's mustard, not cheese on it. We certainly didn't want to overdo anything.
Every year for a long time now, Scott and I have gone into the bear trailer to see the bears. I know it's silly, but it's our tradition, and we enjoy it--and I really like doing it with him. So, in we went. Dave and Jo joined us.
Boy, am I glad I did, because I've never seen anything quite like this before.

That is a lot of head on the man's lap. He and the bears were catching a snooze, and everyone looked mighty happy.

Well, maybe not everyone.

This bear grabbed the woman's shirt with its teeth, pulled her next to the man and down into a seated position, then went around her and put its head in her lap. No way was it going to let those other bears have all the naps.
After some time with the poultry, we aimed ourselves at the building of giant fruits and veggies. Along the way, though, we had to fortify ourselves with an assortment of vegetables of our own.

All fried, of course. It is the Fair.

Pickles count as a vegetable, right?
Okay, okay, I promised giants, and giants you shall have. Such as this watermelon.

And this pumpkin.

In the same building were the Brahman cows, whose briefcase folds are the stuff of a famous Wikipedia entry.

Next up for us were visits to some craft areas, so Scott decided to fortify himself with a giant turkey leg.

I, of course, demanded a bite as tax, and damn, was it good.
While walking through one of the craft buildings, we came upon it: the base of the Hot Dog Throne of Doom.

Yes, one day it will be mine.
But not today.
From the crafts to the gardens, where Scott showed his flat affect while posing as a flower.

At this point, our hearty crew had gone whole minutes without eating, so naturally we had to make a pilgrimmage from the gardens to one of the Fair's greatest attractions: the N.C. State ice cream stand.

Cherry vanilla is my poison. I dug into it so quickly that I almost forgot to photograph it. Fortunately, I did remember.
As we headed to the next (and last) craft building, one way on the other side of the Fair, we wandered by a stand selling this glob of greasy goodness.

Damn right, that's a fried cheeseburger.
What, you don't believe me? You question what is really inside that mound of fry.
Fine. Take a gander inside.

Yup, meat and cheese, baby, meat and cheese.
While wandering the competitive craft area, we came upon this remarkable piece of work by our friend, Merrie Burnett.

All of us agreed: Merrie definitely should have won a ribbon.
On the way out, we had to stop at Kimmy's Kupcakes, which serves cupcakes that resemble all sorts of foods.

Which one did we choose to share?

As if you had to ask.
On the way out, I moved the car to a good position and stayed to watch the fireworks. My iPhone's camera, which I used for all of these pictures, wasn't really up to the job of capturing a sky awash in color, but I ended up liking a few of the shots.
This one is recognizable, just so you know that I'm telling the truth about the fireworks.

This one, on the other hand, was just odd enough to capture my interest, even though it did no justice to what we saw.

The murkiness of this last shot somehow charmed me. I could stare at it a long time without being bored.

The only thing that could have made the Fair better was having Sarah there. I'm happy she's in Italy and having a great semester abroad, but as much as I always miss her, I miss her more at these family traditions. (If you're not reading her blog, by the way, you are missing out.)
The Fair is always a wild night, which of course puts me in mind of this song.
When Sarah and Scott were little, I'd play this loud in my office as they ran in circles around the room and I tried (not very hard) to catch them. I'd usually miss, and they'd run away screaming in mock fear and triumph. Even as I did it, I knew it was magic, and I loved it. I still miss doing this with them.
So, Sarah, when you're feeling homesick, play this video, think of the Fair, think of us, think of running around my office, and know that I am always only a song away, always there to catch you, always a dad who loves his girl.
Monday night, a group of us made our traditional annual trip to the North Carolina State Fair.
I'm in it for the food and the weirdness, and mostly the food. The goal is to try as many odd Fair dishes as you can handle. This year, I decided on a new algorithm: I'd buy anything that looked interesting, take a bite, and then share it with the rest of the group. One dish, one bite, move on.
Others in our group, which to my great pleasure included Scott taking a few hours off from studying chemistry, had their own approaches, but I mostly stuck to mine. (Okay, I ate a couple of bites of a few things, but until the ice cream, I was doing well. More on that later.)
First up was Scott's pretzel dog on a stick, which he nicely let me try.

Wow, was it tasty, the perfect blend of pretzel and dog.
Gina needed me to hold her salty pretzel, so Scott and I exacted holding fees of a bite each. It was warm and chewy and salty, exactly as it should be.

We ate things as we passed them, which meant that this red velvet funnel cake with cream cheese icing hit our stomachs next. It was amazingly sweet, the sort of sweet that would make your teeth hurt, so it was fun only for a bite or two. (Kyle, you would loved it and eaten it all.)

I know what you're thinking: is that all the fried food you've got?
Why, no, it's not.

Yeah, fried macaroni and cheese bites. These little rascals are cheesy hot goodness personified. I restricted myself to a third of one; much food was still to come.
Next up was meat: a half-pound pure beef hot dog from a local guy who makes it himself. Five of us shared it, so we each got only a bite or two, but man, was it satisfying.

That's mustard, not cheese on it. We certainly didn't want to overdo anything.
Every year for a long time now, Scott and I have gone into the bear trailer to see the bears. I know it's silly, but it's our tradition, and we enjoy it--and I really like doing it with him. So, in we went. Dave and Jo joined us.
Boy, am I glad I did, because I've never seen anything quite like this before.

That is a lot of head on the man's lap. He and the bears were catching a snooze, and everyone looked mighty happy.

Well, maybe not everyone.

This bear grabbed the woman's shirt with its teeth, pulled her next to the man and down into a seated position, then went around her and put its head in her lap. No way was it going to let those other bears have all the naps.
After some time with the poultry, we aimed ourselves at the building of giant fruits and veggies. Along the way, though, we had to fortify ourselves with an assortment of vegetables of our own.

All fried, of course. It is the Fair.

Pickles count as a vegetable, right?
Okay, okay, I promised giants, and giants you shall have. Such as this watermelon.

And this pumpkin.

In the same building were the Brahman cows, whose briefcase folds are the stuff of a famous Wikipedia entry.

Next up for us were visits to some craft areas, so Scott decided to fortify himself with a giant turkey leg.

I, of course, demanded a bite as tax, and damn, was it good.
While walking through one of the craft buildings, we came upon it: the base of the Hot Dog Throne of Doom.

Yes, one day it will be mine.
But not today.
From the crafts to the gardens, where Scott showed his flat affect while posing as a flower.

At this point, our hearty crew had gone whole minutes without eating, so naturally we had to make a pilgrimmage from the gardens to one of the Fair's greatest attractions: the N.C. State ice cream stand.

Cherry vanilla is my poison. I dug into it so quickly that I almost forgot to photograph it. Fortunately, I did remember.
As we headed to the next (and last) craft building, one way on the other side of the Fair, we wandered by a stand selling this glob of greasy goodness.

Damn right, that's a fried cheeseburger.
What, you don't believe me? You question what is really inside that mound of fry.
Fine. Take a gander inside.

Yup, meat and cheese, baby, meat and cheese.
While wandering the competitive craft area, we came upon this remarkable piece of work by our friend, Merrie Burnett.

All of us agreed: Merrie definitely should have won a ribbon.
On the way out, we had to stop at Kimmy's Kupcakes, which serves cupcakes that resemble all sorts of foods.

Which one did we choose to share?

As if you had to ask.
On the way out, I moved the car to a good position and stayed to watch the fireworks. My iPhone's camera, which I used for all of these pictures, wasn't really up to the job of capturing a sky awash in color, but I ended up liking a few of the shots.
This one is recognizable, just so you know that I'm telling the truth about the fireworks.

This one, on the other hand, was just odd enough to capture my interest, even though it did no justice to what we saw.

The murkiness of this last shot somehow charmed me. I could stare at it a long time without being bored.

The only thing that could have made the Fair better was having Sarah there. I'm happy she's in Italy and having a great semester abroad, but as much as I always miss her, I miss her more at these family traditions. (If you're not reading her blog, by the way, you are missing out.)
The Fair is always a wild night, which of course puts me in mind of this song.
When Sarah and Scott were little, I'd play this loud in my office as they ran in circles around the room and I tried (not very hard) to catch them. I'd usually miss, and they'd run away screaming in mock fear and triumph. Even as I did it, I knew it was magic, and I loved it. I still miss doing this with them.
So, Sarah, when you're feeling homesick, play this video, think of the Fair, think of us, think of running around my office, and know that I am always only a song away, always there to catch you, always a dad who loves his girl.
Yup, it's a tumor
The doctor left me voicemail saying he had received the CT scan photos and confirming that it is what he expected: a tumor. Monday, we'll do the "fine needle aspiration and biopsy" to determine if the tumor is benign or malignant.
Internet research FTW on this one.
Here's hoping I stay with the odds and have only a benign tumor.
I'll still get you that State Fair post later today.
Internet research FTW on this one.
Here's hoping I stay with the odds and have only a benign tumor.
I'll still get you that State Fair post later today.
Wednesday, October 19, 2011
My head goes into a machine,
and the suck looks worse
This morning, I arose bright and early after four horrible hours of nightmare-infused sleep to head to a local radiology place for a CT scan of my head.
The machine into whose donut center my head went was a sadly dull creation. I would have preferred matte black and perhaps some neon, as well as mood lighting for the room and maybe a little heavy metal playing.

As you can see, they did give me a pillow under my legs, though I didn't really need it.
The two women who ran the scan were great One found a vein--harder than it should have been, because I'm fat--and inserted the IV. After prepping me, they did a non-scanning trial, in which the table moved my head in and out of the machine, and then told me what would happen.
Best bit: "When we let the substance into the IV, you'll feel warm in your abdomen, neck, and bladder. Don't pee."
Check. I had that one already.
I asked if I could close my eyes, and they said sure. I nearly fell asleep in the few minutes the test was running.
Hardest instruction: "Don't swallow."
Nothing makes you want to swallow more than someone telling you not to.
They sent me home, as promised, with a disc full of images. They told me to give it to the doctor and wait for his pronouncement. They also said it was a special disc I couldn't just look at.
Fuck that.
The disc contains a PC viewer app with the images embedded in a little database. I brought it up on a PC, figured out the interface--simple, but poorly done except for the image viewer, which is awesome--and exported all the images as .jpgs.
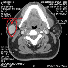
It's pretty cool stuff. Here's the first shot, my head straight on.

Do I look like the Terminator, or what?
Yeah, yeah, go ahead and say it: damn, that's a big neck. Yes, it is.
The next thing I did was exactly what doctors everywhere hate, what they will tell you not to do, what is almost certainly booking a trip aboard the failboat: I decided to self-diagnose via the interwebs.
I found this page, which tells you how to read these images. (I actually consulted many pages, but this one was the exemplar.) It contained this key sentence (the Wikipedia link is mine):

Yes, ladies and gentlemen, I believe we have a tumor. I stress that word "believe" because, of course, everything I've just done is a bit of a mug's game. I have no training. I am self-diagnosing using an image I'm not even supposed to have seen. I've read multiple studies about how bad people are at self-diagnosing using Web techniques; I've heard figures of over 90% of the people being wrong, and almost everyone tending to choose a bad outcome.
That said, I think I'm right, and I'm now turning my energies to two things: hoping the tumor is benign, and investigating all my surgical options.
Wish me luck.
Tomorrow, a far cheerier post about the State Fair.
The machine into whose donut center my head went was a sadly dull creation. I would have preferred matte black and perhaps some neon, as well as mood lighting for the room and maybe a little heavy metal playing.

As you can see, they did give me a pillow under my legs, though I didn't really need it.
The two women who ran the scan were great One found a vein--harder than it should have been, because I'm fat--and inserted the IV. After prepping me, they did a non-scanning trial, in which the table moved my head in and out of the machine, and then told me what would happen.
Best bit: "When we let the substance into the IV, you'll feel warm in your abdomen, neck, and bladder. Don't pee."
Check. I had that one already.
I asked if I could close my eyes, and they said sure. I nearly fell asleep in the few minutes the test was running.
Hardest instruction: "Don't swallow."
Nothing makes you want to swallow more than someone telling you not to.
They sent me home, as promised, with a disc full of images. They told me to give it to the doctor and wait for his pronouncement. They also said it was a special disc I couldn't just look at.
Fuck that.
The disc contains a PC viewer app with the images embedded in a little database. I brought it up on a PC, figured out the interface--simple, but poorly done except for the image viewer, which is awesome--and exported all the images as .jpgs.
It's pretty cool stuff. Here's the first shot, my head straight on.

Do I look like the Terminator, or what?
Yeah, yeah, go ahead and say it: damn, that's a big neck. Yes, it is.
The next thing I did was exactly what doctors everywhere hate, what they will tell you not to do, what is almost certainly booking a trip aboard the failboat: I decided to self-diagnose via the interwebs.
I found this page, which tells you how to read these images. (I actually consulted many pages, but this one was the exemplar.) It contained this key sentence (the Wikipedia link is mine):
For this reason, administration of contrast material is helpful because cysts usually enhance on their periphery, whereas pleomorphic adenomas enhance solidly (Figs 3c, 7b).Now, with a little annotation of my own, here's a picture of the mass in my parotid gland.

Yes, ladies and gentlemen, I believe we have a tumor. I stress that word "believe" because, of course, everything I've just done is a bit of a mug's game. I have no training. I am self-diagnosing using an image I'm not even supposed to have seen. I've read multiple studies about how bad people are at self-diagnosing using Web techniques; I've heard figures of over 90% of the people being wrong, and almost everyone tending to choose a bad outcome.
That said, I think I'm right, and I'm now turning my energies to two things: hoping the tumor is benign, and investigating all my surgical options.
Wish me luck.
Tomorrow, a far cheerier post about the State Fair.
Tuesday, October 18, 2011
Well, this sucks
The lump I had discussed a while back did not, despite the antibiotics, go away. So, today I visited the doctor again to see what we should do next.
The news is not good.
At the center of the swelling is a small hard mass. Based on his experience and the data available to him, the doctor said in 80% of such cases, the mass proves to be a tumor that they must remove surgically. If it is a tumor, 80% of the time it is benign, which is good.
If it is not a tumor, then the mass is most likely a cyst with a liquid core. Again, though, the odds are only 20% that it is a cyst.
Still, at this point I am fervently hoping for a cyst--something I would never have guessed I would one day be wanting.
The way they will determine the type of the mass is via a CAT scan, which I am now scheduled to have tomorrow morning. I've never had one of those, so it should be interesting. I should leave with a disc of images--images that I, of course, will not be able to read.
On Monday morning, the doctor will read them. He says he should be able to tell definitively if the mass is solid (tumor) or liquid (cyst). If it is solid, he will stick a needle in my face and take some cells for a biopsy to determine if it is benign or malignant. If it is liquid, he will stick a needle in my face, drain the cyst, and then probably hit me with a shot of super-strength antibiotics.
Either way, Monday I get a needle in my face. I'm hoping for one that's draining a cyst.
If I do need surgery, they will end up having to lift up a section of the right side of my face. They will cut starting just in front of the ear, follow the ear downward, curve under it, and then run along below the jawline. I will end up with a rather huge scar. They will then face the delicate task of removing the tumor and probably most or all of the gland without affecting any of the five key facial nerves that run through it. If they mess up, I lose control of that side of my face.
They claim to be very good at this sort of operation. I'll be doing some research, of course, into that claim.
The surgery will require that I stay overnight in the hospital for at least one night, and I will be on sufficiently massive painkillers that I will probably not be able to work or to write. I'll be out of commission at least a week.
If I do need the surgery, I'll have it as close after my next long trip as I can manage, which means as close to November 8 as possible.
I'm not a religious man, nor am I convinced of the power of good wishes, but I'll nonetheless happily accept any prayers or good wishes you would be willing to send my way that this lump is a cyst they can drain and then kill via antibiotics.
Sorry for the bummer post.
The news is not good.
At the center of the swelling is a small hard mass. Based on his experience and the data available to him, the doctor said in 80% of such cases, the mass proves to be a tumor that they must remove surgically. If it is a tumor, 80% of the time it is benign, which is good.
If it is not a tumor, then the mass is most likely a cyst with a liquid core. Again, though, the odds are only 20% that it is a cyst.
Still, at this point I am fervently hoping for a cyst--something I would never have guessed I would one day be wanting.
The way they will determine the type of the mass is via a CAT scan, which I am now scheduled to have tomorrow morning. I've never had one of those, so it should be interesting. I should leave with a disc of images--images that I, of course, will not be able to read.
On Monday morning, the doctor will read them. He says he should be able to tell definitively if the mass is solid (tumor) or liquid (cyst). If it is solid, he will stick a needle in my face and take some cells for a biopsy to determine if it is benign or malignant. If it is liquid, he will stick a needle in my face, drain the cyst, and then probably hit me with a shot of super-strength antibiotics.
Either way, Monday I get a needle in my face. I'm hoping for one that's draining a cyst.
If I do need surgery, they will end up having to lift up a section of the right side of my face. They will cut starting just in front of the ear, follow the ear downward, curve under it, and then run along below the jawline. I will end up with a rather huge scar. They will then face the delicate task of removing the tumor and probably most or all of the gland without affecting any of the five key facial nerves that run through it. If they mess up, I lose control of that side of my face.
They claim to be very good at this sort of operation. I'll be doing some research, of course, into that claim.
The surgery will require that I stay overnight in the hospital for at least one night, and I will be on sufficiently massive painkillers that I will probably not be able to work or to write. I'll be out of commission at least a week.
If I do need the surgery, I'll have it as close after my next long trip as I can manage, which means as close to November 8 as possible.
I'm not a religious man, nor am I convinced of the power of good wishes, but I'll nonetheless happily accept any prayers or good wishes you would be willing to send my way that this lump is a cyst they can drain and then kill via antibiotics.
Sorry for the bummer post.
Monday, October 17, 2011
Two movies I'm unreasonably excited about seeing
The State Fair will keep me out later than usual tonight, and then a ton of work will be awaiting me, so I thought I'd share the trailers of two films that I cannot wait to see.
The first opens this Friday.
I'm a sucker for a good Three Musketeers movie; always have been. I've seen all of the ones that have appeared in my lifetime. Then, we have the cast, which looks excellent and includes such favorites as Matthew Macfayden (once Tom on MI-5), Milla Jovovich, Ray Stevenson, and did I mention Milla Jovovich. Add a healthy dose of steampunk--airships dropping anchor and firing broadside at one another--and the film is simply irresistible to me.
The second won't be here for quite some time, but I don't care; it's going to be awesome.
I grew up reading the comic books of all the Avengers characters. I love Joss Whedon's work. Scarlett Johansson wears a skintight black suit. What's not to love?
Tomorrow, I hope to report on either the State Fair or my second writing workshop at a local library.
The first opens this Friday.
I'm a sucker for a good Three Musketeers movie; always have been. I've seen all of the ones that have appeared in my lifetime. Then, we have the cast, which looks excellent and includes such favorites as Matthew Macfayden (once Tom on MI-5), Milla Jovovich, Ray Stevenson, and did I mention Milla Jovovich. Add a healthy dose of steampunk--airships dropping anchor and firing broadside at one another--and the film is simply irresistible to me.
The second won't be here for quite some time, but I don't care; it's going to be awesome.
I grew up reading the comic books of all the Avengers characters. I love Joss Whedon's work. Scarlett Johansson wears a skintight black suit. What's not to love?
Tomorrow, I hope to report on either the State Fair or my second writing workshop at a local library.
Sunday, October 16, 2011
A fine fall day
The sun is shining, the air is brisk, the leaves are beginning to change, and the day is about as perfect as is possible. Light through the trees onto the back deck is tinged the gentler, lighter green of the slowly dying leaves and makes everything glow.
I absolutely love it.
It's easy to see fall as the harbinger of the bleak winter to come, but I never view it that way. Living in North Carolina, I instead think of it as a welcome respite from the heat of summer.
In the middle of the afternoon today, we took the dogs for a walk. Their thick coats, sources of easy overheating in the summer, are now just about right. The smelloverse available to them keeps them constantly interested. They stick close to us and occasionally take a sniff and then glance at us as if to say, "Did you catch that? Wasn't it great?" Of course, we didn't, because our noses are so greatly inferior to theirs, but they don't know that, so I always try to act as if I did.
These days won't last long here, but while we have them, I intend to take as many dog walks as I can.
Tomorrow, I hope to report on another grand treat and fall tradition: the North Carolina State Fair.
I absolutely love it.
It's easy to see fall as the harbinger of the bleak winter to come, but I never view it that way. Living in North Carolina, I instead think of it as a welcome respite from the heat of summer.
In the middle of the afternoon today, we took the dogs for a walk. Their thick coats, sources of easy overheating in the summer, are now just about right. The smelloverse available to them keeps them constantly interested. They stick close to us and occasionally take a sniff and then glance at us as if to say, "Did you catch that? Wasn't it great?" Of course, we didn't, because our noses are so greatly inferior to theirs, but they don't know that, so I always try to act as if I did.
These days won't last long here, but while we have them, I intend to take as many dog walks as I can.
Tomorrow, I hope to report on another grand treat and fall tradition: the North Carolina State Fair.